
Özgür Kizilca, MD, Alp Öztek, MD, […], and Utku Şenol, MD
Additional article information
Abstract
article-meta
One of the major problems radiologists face in everyday practice is to decide the correct diagnosis, or at least narrow down the list of possibilities. In this context, indicative evidences (signs) are useful to recognize pathologies, and also to narrow the list of differential diagnoses. Despite classically being described for a single disease, or a closely related family of disorders, most indications are not restricted exclusively to their traditional definition. Therefore, using signs for prognosis requires knowledge of the mechanism of their appearance, and which pathologies they are observed in. In this study, we demonstrate some of the more common and useful neuroradiologic signs with relevant images, and discuss their use in differential diagnosis.
Keywords: Neuroradiology, Signs/indications, MRI, CT, Ultrasound, Brain
INTRODUCTION
One of the major difficulties faced by radiologists in everyday practice is selecting the correct diagnosis, or at least narrowing the list of possibilities to a manageable size. In this context, indicative evidences are useful in radiology to recognize the presence of pathologies, and also help in narrowing the list of differential diagnoses. Even though they are classically defined for a single disease, or a closely related family of disorders, most indications are not restricted or exclusive to their traditional definition. Therefore, applying the signs and indications during the diagnostic process is a skill in itself, and requires knowledge of the mechanism of its appears as well as various pathologies it is observed in. In this study, we demonstrate some of the more common and useful neuroradiologic signs with relevant images, and discuss their use in differential diagnosis.
Black Hole
Black holes are areas that, with respect to normal appearing white matter, appear hypointense in T1-weighted images (T1WI) (Fig. 1), and hyperintense in T2-weighted images (T2WI), and are commonly seen in multiple sclerosis (MS) (1). Histopathologically, chronic black holes are related to severe tissue damage, caused by axon loss and demyelination (1,2). Acute black holes represent a group of lesions caused by edema, demyelination and axonal injury (2).
fig ft0fig mode=article f1

Fig. 1
caption a4
caption a8Black hole sign.
Caput Medusa
Caput medusa is indicated by the appearance of tubular structures in the brain parenchyma, the “snakes” converging towards a common point (the “head”), in contrast-enhanced MRI and CT images (Fig. 2). It is seen in developmental venous anomalies, also known as cerebral venous angiomas (3).
fig ft0fig mode=article f1

Fig. 2
caption a4
caption a8Caput medusa sign.
Cloverleaf Skull
A cloverleaf skull occurs when the cranium takes a shape similar to a cloverleaf, appearing trilobular, due to craniosynostosis (Fig. 3). It is a typical feature of various syndromes, and has been described for type I and II thanatophoric dysplasia, Boston type craniosynostosis, and others such as Carpenter syndrome, severe cases of Apert syndrome and Crouzon syndrome (4).
fig ft0fig mode=article f1

Fig. 3
caption a4
caption a8Cloverleaf skull sign.
Coca-Cola Bottle Sign
Thyroid disease affects muscles of the eye, with 25% cases of Graves’ disease having ophthalmopathy, and 75–80% of thyroid ophthalmopathies affecting the extraocular muscles (5,6). The nontendinous part of the muscles are mostly affected, causing a swelling of the belly and the overall muscle having a fusiform shape, likened to a Coca-Cola bottle (Fig. 4) (6). The muscle most commonly involved is the inferior rectus, followed by the medial, lateral and superior recti, respectively. However, there are studies reporting similar frequencies of involvement of different muscles also (6,7).
fig ft0fig mode=article f1

Fig. 4
caption a4
caption a8Coca-Cola bottle sign.
Cord Sign and Empty Delta Sign
Cord sign is the loss of flow void in a dural sinus, and its replacement by an abnormal signal intensity on T2-weighted MRI images or linear hyperdensities in the affected area in CT (Fig. 5) (8). Even though it is seen in a minority of cases with cerebral venous thrombosis, the use of thinner sections has increased the incidence of its detection (8). An additional indication possibly seen in this clinical scenario, is the empty delta sign, a triangle shaped filling defect in superior sagittal sinus observed in contrast-enhanced MRI and CT images (9).
fig ft0fig mode=article f1

Fig. 5
caption a4
caption a8Cord sign.
Cotton Wool Sign
Cotton wool appearance is described for plain film imaging of Paget’s disease. Paget’s disease is characterised by a lytic phase, where areas of osteolysis appear (osteoporosis circumscripta), a mixed phase and a sclerotic phase (10). When occurrence of sclerosis in previous areas of osteoporosis circumscripta results in a pattern with focal areas of opacity in a previously lucent area; this pattern is called the cotton wool appearance (Fig. 6) (10).
fig ft0fig mode=article f1

Fig. 6
caption a4
caption a8Cotton wool sign.
Dawson Fingers
Multiple sclerosis has a wide array of radiological findings, and many of these have their own signs. Demyelinating plaques with a perpendicular course, adjacent to the body of the lateral ventricle, present as hyperintensities on T2WI (Fig. 7) (11). They are called Dawson’s fingers and are are considered to be a relatively specific sign for MS.
fig ft0fig mode=article f1

Fig. 7
caption a4
caption a8Dawson fingers.
Dense MCA and Insular Ribbon
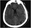
Indications of dense middle cerebral artery (MCA) are the hyperattenuating appearance of the proximal part of MCA (Fig. 8). This is one of the early signs of ischemic stroke with 90–100% sensitivity, but only 30% specificity (12). False positives are seen in patients with high hematocrit values or calcified atherosclerosis, in which case the patients are asymptomatic and the appearance is usually bilateral (12). A similar appearance has also been reported in some viral infections (12).
fig ft0fig mode=article f1

Fig. 8
caption a4
caption a8Dense MCA sign.
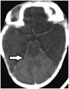
The insular cortex is more susceptible to ischemia than other parts of the MCA territory due to lack of collateral supply from anterior cerebral arteries and posterior cerebral arteries (13). The normal gray-white matter interface located here is called the insular ribbon, and the loss of this distinction is an early sign of a MCA infarction.
Dural Tail
Dural tail is the result of the thickening of dura mater adjacent to a mass, resembling a tail extending from the lesion, in contrast enhanced MRI (Fig. 9) (14). It is classically a feature of meningiomas, with approximately 60–72% featuring a tail (15). However, it is not exclusive to meningiomas, and the process has also been described in other lesions such as glioblastome multiforme, medulloblastoma, chloroma, lymphoma, neurosarcoidosis, and acoustic neuroma (16).
fig ft0fig mode=article f1

Fig. 9
caption a4
caption a8Dural tail.
Etat Crible
Poirier and Derouesne originally described 3 types of lacunae: type I (infarct), type II (hemorrhage) and type III (dilation of the perivascular space) (17). Presence of numerous type III lacunae results in a colander-like appereance of the brain, which is referred to as état criblé (cribriform state). A few cases of vascular parkinsonism presenting as état criblé have been reported (18).
The Eye of the Tiger Sign
The eye of the tiger sign is the presence of a hypointense area around a high signal intensity area in the anteromedial globus pallidus, in T2WI images (Fig. 10) (19). The hypointensity is caused by iron accumulation (19). It is classically seen in Hallervorden-Spatz syndrome where, besides its diagnostic utility, it can be used to identify patients for testing of PANK2 mutations, and to identify siblings of affected children before the symptoms appear (20). The sign is not pathognomonic, and has also been reported in cortical-basal ganglionic degeneration, SteeleRichardson-Olszewski syndrome, and early onset levodopa responsive parkinsonism (19).
fig ft0fig mode=article f1

Fig. 10
caption a4
caption a8Eye of tiger sign.
Figure of 8
In radiology, there are various apperances resembling a snowman or Figure 8 (Fig. 11). The one related to neuroradiology is seen in pituitary macroadenomas. By definiton, these lesions are, larger than 1 cm, and first expand the sella turcica, after which they grow upwards. As the lesion grows, it squeezes through the diaphragma sella, causing an indentation or a ‘waist’ in the lesion, giving it an appearance like a snowman or the number 8 (21).
fig ft0fig mode=article f1

Fig. 11
caption a4
caption a8Figure of 8.
Ground-Glass Appearance
Fibrous dysplasia is characterized by the progressive displacement of normal bone tissue by elements of fibrous tissue (22). It can affect any bone in the body, and the face and skull are frequent sites of involvement (22). The groundglass appearance (Fig. 12) in an expanded bone is the most common pattern of fibrous dysplasia observed in CT (23).
fig ft0fig mode=article f1

Fig. 12
caption a4
caption a8Ground-glass appearance.
Harlequin Appearance
Either unilateral or bilateral coronal suture synostosis causes shallowing of the anterior cranial fossa and the orbits, and the uplifting of the orbital roof with elevation of the superolateral corner (24). On head radiographic images, these findings result in an appearance similar to a harlequin, thus giving it the name the harlequin appearance (Fig. 13).
fig ft0fig mode=article f1

Fig. 13
caption a4
caption a8Harlequin appearance.
Horseshoe Sign
In active stage of the disease, MS plaques demonstrate temporary enhancement. An incomplete ring of enhancement, where the non-enhancing part points toward the cortex, resembles a horseshoe (Fig. 14), and is observed especially in large tumefactive lesions (25).
fig ft0fig mode=article f1

Fig. 14
caption a4
caption a8Horseshoe sign.
Hot Cross Bun Sign
Hot cross bun sign is a cross shaped hyperintensity in the pons seen on T2WI (Fig. 15) (26,27). It is usually seen in multiple system atrophy C, but is also observed in spinocerebellar atrophy and parkinsonism secondary to vasculitis (18). It has also been reported in variant Creutzfeld-Jacob disease (26). It is thought to be caused by neuronal loss in the pontine nuclei and transverse pontocerebellar tract, but sparing the corticospinal tracts and the pontine tegmentum (26,27).
fig ft0fig mode=article f1

Fig. 15
caption a4
caption a8Hot cross bun sign.
Hot Nose and Empty Skull
There are several signs described for the scintigraphic appearance of brain death. One of them is the hot nose, defined as the early and increased activity observed in the nasopharyngeal region (28). It is caused by the lack of flow in the internal carotid arteries, causing lack of scintigraphic activity in the brain (the empty skull appearance). Since all the blood in the carotid arteries necessarily flow through the external carotids, the activity around the nose is both early and increased (the hot nose sign) (Fig. 16) (29).
fig ft0fig mode=article f1

Fig. 16
caption a4
caption a8Hot nose and empty skull.
Hummingbird Sign
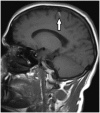
This indication, known as the hummingbird sign or king penguin sign, is seen on mid-sagittal T2WI, where selective atrophy of the tegmentum coupled with a relatively preserved pons gives the appearance of the head and body of a hummingbird (Fig. 17). It is characteristic of progressive supranuclear palsy (previously known as Steele-Richardson-Olszewski syndrome) (30,31).
fig ft0fig mode=article f1

Fig. 17
caption a4
caption a8Hummingbird sign.
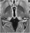
Ice Cream Cone Sign
The normal positioning of the head of malleus and the body of incus resemble an ice cream cone in axial CT images (Fig. 18), where the cone is the body of incus and the icecream ball itself is the head of malleus (32). Disruption of the “ice cream cone” is seen in incudomalleolar dysarticulation (33).
fig ft0fig mode=article f1

Fig. 18
caption a4
caption a8Ice cream cone sign.
Ivy Sign
Ivy sign is an appearance of linear hyperintensities in the sulci and subarachnoid space. These intensities can be continuous or discontinuous, and can be observed on fluid attenuated inversion recovery (FLAIR) images or postcontrast T1WI (Fig. 19) (34,35). Contrast-enhanced T1WI are considered superior to FLAIR images for demonstration of the ivy sign (34). The appearance in postcontrast T1WI images is considered to be due to slow flowing enlarged pial vessels (34).
fig ft0fig mode=article f1

Fig. 19
caption a4
caption a8Ivy sign.
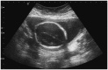
Lemon Sign
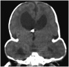
During antenatal imaging (with ultrasonography or MRI) on the axial plane through the head, the appearance of bifrontal flattening or concavityresembles a lemon (Fig. 20) (36). It is classically seen in fetuses with spina bifida, which is commonly associated with Chiari II malformation (36).
fig ft0fig mode=article f1

Fig. 20
caption a4
caption a8Lemon sign.
Molar Tooth Sign
In transverse CT or MRI images at the level of the midbrain, the appearance of a horizontal tubular structure originating from the midbrain on both sides of the midline, classically resembles, and is therefore defined, as a molar tooth sign (Fig. 21) (37). It is seen in Joubert syndrome, where this characteristic appearance is used to diagnose the disease with obstetric ultrasound (38).
fig ft0fig mode=article f1

Fig. 21
caption a4
caption a8Molar tooth sign.
Omega Sign
The central sulcus is an important landmark in the brain. It looks like the letter S with 3 geni: the superior, middle and inferior genu. The middle genu is the deepest one and is anteriorly concave, resembling the inverted Greek letter omega in MRI (39). This sign appears in both hemispheres at approximately the same coronal level, and the contralateral omega sign can also be used to locate a lesion with respect to the central sulcus (39).
Onion Bulb Sign
Balo’s concentric sclerosis is considered to be a rare variant of MS (40). T1WI characteristically demonstrates concentric isointense and hypointense rings similar to an onion bulb (Fig. 22) (40). Even though conclusive diagnosis requires histopathologic evaluation, this typical onion bulb appearance in MRI is considered enough for diagnosis (41).
fig ft0fig mode=article f1

Fig. 22
caption a4
caption a8Onion bulb sign.
Popcorn Sign (Mulberry Sign)
Popcorn sign (also known as mulberry sign) is the appearance of a well-defined lobulated lesion with a central area of heterogeneous intensities on T1WI and T2WI (Fig. 23) (42). It is considered characteristic of cavernous hemangiomas, and can be seen in both cerebral and spinal lesions (42,43). The central area of mixed intensity is formed by thrombosis, fibrosis, blood breakdown products and calcification (43).
fig ft0fig mode=article f1

Fig. 23
caption a4
caption a8Popcorn sign.
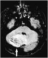
Puff of Smoke
In moyamoya disease, proliferation of extensive deep collateral networks, including the lenticulostriates, anterior and posterior choroidal branches, form a characteristic appearance of a network of tiny intracranial collateral vessels in angiography (Fig. 24) (44). This “puff of smoke” appearance is considered diagnostic of moyamoya disease, which itself means a “hazy puff of smoke” in Japanese (45).
fig ft0fig mode=article f1

Fig. 24
caption a4
caption a8Puff of smoke.
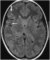
Pulvinar Sign
Pulvinar sign is the hyperintensity of the pulvinar and medial areas of the thalamus in T2WI and FLAIR images (Fig. 25) typically seen in, but not exclusive to, Fabry disease (46). Interestingly, it is almost always seen in male patients, with only few cases reported in females (47). It has also been reported in Creutzfeld-Jacob disease, central nervous system infections, phakomatoses, and as a result of chemotherapy and radiotherapy in brain tumors (47,48)
fig ft0fig mode=article f1

Fig. 25
caption a4
caption a8Pulvinar sign.
Swirl Sign
On noncontrast CT, image of the active bleeding into an epidural hematoma is identified as the swirl sign (Fig. 26) (49,50). The active component of uncoagulated blood is of lower attenuation than the surrounding clotted blood, forming an area of low attenuation in an otherwise hyperattenuating hematoma (50). The recognition of this sign identifies actively bleeding epidural hematomas, resulting in the appropriate intervention for the patient (50).
fig ft0fig mode=article f1

Fig. 26
caption a4
caption a8Swirl sign.
Target Sign
There are various appearances called target sign (or bull’s eye sign), related to many organs and systems. Even for a single organ, various entities result in a target appearance. For instance, cerebral metastases (Fig. 27) and abscesses can cause the target sign, as well as some hematomas in MRI (in which case it is also called concentric ring sign). Eccentric target signs have also been reported for cerebral toxoplasmosis (51).
fig ft0fig mode=article f1

Fig. 27
caption a4
caption a8Target sign.
Tiger Stripe Pattern
The tiger stripe sign is the presence of inner hyperintense bands alternating with outer hypointense areas, observed in the cerebellum on T2WI (Fig. 28). This appearance is due to the close apposition of thickened cerebellar folia (52). When unilateral, and seen in a middle-aged adult, it is considered typical for Lhermitte-Duclos disease, also known as dysplastic cerebellar gangliocytoma (53). It often enables a diagnosis without histopathological confirmation. However, some authors recommend advanced imaging or biopsy in certain clinical settings (54).
fig ft0fig mode=article f1

Fig. 28
caption a4
caption a8Tiger stripe pattern.
Tigroid Pattern
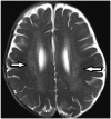
Tigroid pattern, also called as leopard skin sign, is when the hypointense lines or spots are seen in periventricular white matter on T2WI (Fig. 29) (32). It is caused by demyelination, is prominent in periventricular white matter and centrum semiovale, and is characteristically observed in metachromatic leukodystrophy (55). It has also been reported in Pelizaeus-Merzbacher disease, globoid cell leukodystrophy and Lowe syndrome (56).
fig ft0fig mode=article f1

Fig. 29
caption a4
caption a8Tigroid pattern.
White Cerebellum Sign
On CT imaging, white (or dense) cerebellum sign is seen when the cerebellum appears dense with respect to the cerebral parenchyma. The “increase” in attenuation of cerebellum is in fact a relative hyperdensity caused by decreased attenutation of the brain (Fig. 30). It represents anoxic-ischemic cerebral injury, and has a very poor prognosis (32).
fig ft0fig mode=article f1

Fig. 30
caption a4
caption a8White cerebellum sign
Another sign associated with severe ischemic damage is the reversal sign, where the gray matter appears hypodense with respect to the white matter, in contrast to the normal appearance where gray matter is denser (57).
CONCLUSION
Signs are useful in radiology since they are easy to remember, can help recognize presence of abnormalities, and narrow the list of differentials. By knowing which pathologies create the typical appearance of a ‘sign,’ radiologists can reach a decision regarding the diagnosis more efficiently.
Acknowledgments
The authors would like to thank Dr. Kader Oğuz (Hacettepe University, Faculty of Medicine, Department of Radiology, Ankara, Turkey) for providing the case image for the eye of tiger sign (Fig. 10) and Dr. Osman Kızılkılıç (İstanbul University, Cerrahpaşa Faculty of Medicine, Department of Radiology, İstanbul, Turkey) for providing the case image for puff of smoke (Fig. 24).
Article information
Korean J Radiol. 2017 Nov-Dec; 18(6): 992–1004.
Published online 2017 Sep 21. doi: 10.3348/kjr.2017.18.6.992
PMCID: PMC5639165
PMID: 29089832
Özgür Kizilca, MD, Alp Öztek, MD, Uğur Kesimal, MD,
and Utku Şenol, MD
Department of Radiology, Akdeniz University Faculty of Medicine, Antalya, Turkey.
Corresponding author.
Corresponding author: Alp Öztek, MD, Department of Radiology, Akdeniz University Faculty of Medicine, Tıp Fakultesi Hastanesi Kampüs, Antalya 07070, Turkey. Tel: +90 555 2531010, Fax: +90 242 2496455, moc.liamg@ketzopla
Received 2016 Oct 30; Accepted 2017 Feb 2.
Copyright © 2017 The Korean Society of Radiology
